Your Lipase and amylase test in animals images are ready. Lipase and amylase test in animals are a topic that is being searched for and liked by netizens now. You can Find and Download the Lipase and amylase test in animals files here. Find and Download all free photos and vectors.
If you’re searching for lipase and amylase test in animals images information related to the lipase and amylase test in animals keyword, you have visit the ideal blog. Our site frequently provides you with hints for viewing the highest quality video and image content, please kindly search and find more enlightening video articles and images that match your interests.
Lipase And Amylase Test In Animals. Conversely, serum pancreatic lipase immunoreactivity (pli) concentration is currently considered to be the clinicopathological test of choice for the diagnosis of canine and feline pancreatitis. Amylase helps in starch catabolism. Both enzymes are very important to the digestive system. Serum value of amylase in mature healthy dogs varied from 250 to 1,500 caraway units/dl and that of pancreatic lipase varied from 0 to 50 iu/l.
What is Lipase? What do height and low Lipase mean? From buzzthisviral.com
These enzymes are produced by the pancreas, a glandular organ, lying behind the stomach. Amylase and lipase tests are basically tests for the enzymes amylase and lipase. Amylase helps in starch catabolism. An amylase or lipase test requires a health professional to take a small amount of blood from your vein. As mentioned earlier, amylase and lipase tests are performed to diagnose the presence of pancreatitis. Normally these enzymes are not active until they are secreted into the digestive tract, but with pancreatitis, they become prematurely activated and cause damage to the gland itself.
Amylase helps the body breakdown sugars.
Amylase is a commonly ordered test along with lipase, especially in the setting of suspected acute. Lipase is less frequently increased by hepatobiliary and intestinal injury or renal failure than is amylase, and is considered more specific for mild localized exocrine injury in dogs. Normally these enzymes are not active until they are secreted into the digestive tract, but with pancreatitis, they become prematurely activated and cause damage to the gland itself. Serum lipase and amylase concentrations have been shown to increase in experimental and naturally occurring canine pancreatitis. These enzymes are produced by the pancreas, a glandular organ, lying behind the stomach. Amylase and lipase testsdefinitionamylase and lipase tests are performed to aid in the diagnosis of acute abdominal pain.
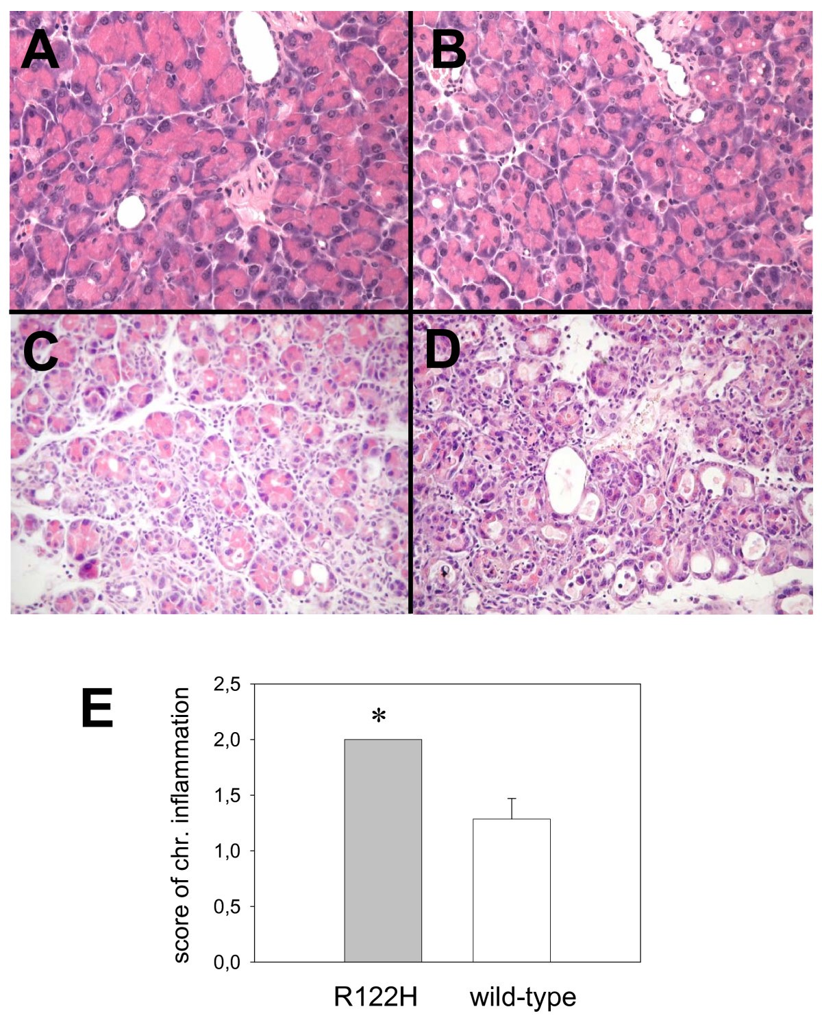
Source: frontiersin.org
Amylase is not a useful indicator of pancreatitis in cats. Animals particularly affected by the injury had elevated enzymes after hemorrhagic shock. Through study of patients, folders and regarding to acute pancreatitis diagnostic criteria’s, patients were divided into two groups: Amylase and lipase tests are basically tests for the enzymes amylase and lipase. Amylase helps in starch catabolism.
Source: allergyresearchgroup.com
Amylase affects the breakdown of starch into maltose. What are amylase and lipase tests? Amylase helps in starch catabolism. Lipase is less frequently increased by hepatobiliary and intestinal injury or renal failure than is amylase, and is considered more specific for mild localized exocrine injury in dogs. Usually the test is administered as follows:
Source: slideserve.com
Both enzymes are very important to the digestive system. In 1908, a study by wohlgemuth identified the presence of amylase in urine, and this subsequently led to the use of amylase as a diagnostic laboratory test. An amylase or lipase test requires a health professional to take a small amount of blood from your vein. The normal levels of amylase and lipase in the blood differ depending on which laboratory conducted the test. Amylase and lipase are digestive enzymes made by the pancreas.
Source: bmcgastroenterol.biomedcentral.com
Please provide service area information to find available tests you can order. Amylase and lipase are digestive enzymes made by the pancreas. Amylase helps the body breakdown sugars. Firstly, it is good to know about the enzymes amylase and lipase, before getting to know about the tests. These enzymes are usually checked when you have symptoms of acute pancreatitis or other pancreatic diseases and your doctor wants to.
Source: biobasicedu.blogspot.com
Serum value of amylase in mature healthy dogs varied from 250 to 1,500 caraway units/dl and that of pancreatic lipase varied from 0 to 50 iu/l. Amylase is a commonly ordered test along with lipase, especially in the setting of suspected acute. Pyrex test tube calibrated to contain 25 ml. The normal levels of amylase and lipase in the blood differ depending on which laboratory conducted the test. In 1908, a study by wohlgemuth identified the presence of amylase in urine, and this subsequently led to the use of amylase as a diagnostic laboratory test.
Source: buzzthisviral.com
This test is not available in all locations. Lipase is less frequently increased by hepatobiliary and intestinal injury or renal failure than is amylase, and is considered more specific for mild localized exocrine injury in dogs. Conversely, serum lipase and amylase concentrations can also be normal in dogs that do have pancreatitis. Amylase helps in starch catabolism. An amylase or lipase test requires a health professional to take a small amount of blood from your vein.
This site is an open community for users to submit their favorite wallpapers on the internet, all images or pictures in this website are for personal wallpaper use only, it is stricly prohibited to use this wallpaper for commercial purposes, if you are the author and find this image is shared without your permission, please kindly raise a DMCA report to Us.
If you find this site beneficial, please support us by sharing this posts to your preference social media accounts like Facebook, Instagram and so on or you can also save this blog page with the title lipase and amylase test in animals by using Ctrl + D for devices a laptop with a Windows operating system or Command + D for laptops with an Apple operating system. If you use a smartphone, you can also use the drawer menu of the browser you are using. Whether it’s a Windows, Mac, iOS or Android operating system, you will still be able to bookmark this website.





